Procedimento minimamente invasivo para tratar angina de peito

O Centro Hospitalar de Lisboa Central realizou, no dia 26 de maio, um procedimento minimamente invasivo que consiste na implantação do dispositivo “Reducer” no seio coronário de doentes que permaneciam com angina de peito após diversas terapêuticas.

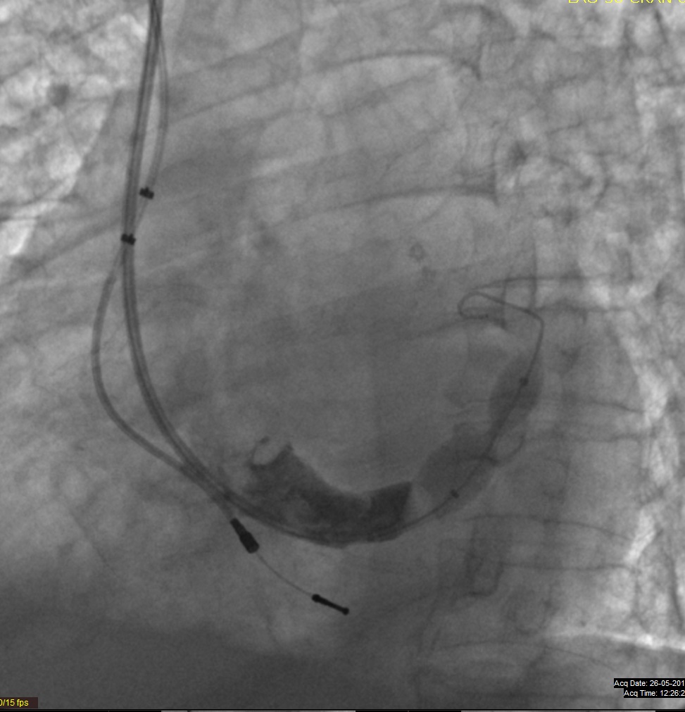
O dispositivo é uma rede metálica em forma de ampulheta, expansível por balão, e foi desenvolvido para aliviar os doentes que não têm outras opções para atenuar ou eliminar a isquemia de causa cardíaca, também conhecida como angina de peito.

O procedimento foi realizado no Laboratório de Hemodinâmica do CHLC – Polo Santa Marta, e contou com a colaboração de Shmuel Banai, do Centro Médico Tel-Aviv Sourasky, que concebeu o disposiitivo.

A maioria dos doentes candidatos a esta técnica já foi intervencionada através de bypass coronário ou angioplastia coronária com implantação de stents e, apesar de se encontrarem medicados com diversos fármacos, mantêm as queixas de dor no peito. Isto ocorre porque os “bypasses” ocluíram com o decorrer do tempo, ou os stents se obstruíram ou a natureza difusa das placas de aterosclerose ou o pequeno calibre dos vasos não permitem qualquer um destes dois procedimentos.

O “Reducer” tem já mais de 500 implantações em todo o mundo, distribuídas por cerca de 50 centros.

O dispositivo é implantado através de uma veia do pescoço, apenas com anestesia local, e conduzido até à aurícula direita e seio coronário onde é expandido com um balão. O “Reducer” provoca aí um estreitamento focal que, aumentando a pressão no seio coronário, provoca uma redistribuição do sangue das áreas bem irrigadas do músculo cardíaco para as mal irrigadas, zonas que estão em isquemia e que produzem a dor cardíaca típica, a angina de peito.

As implantações decorreram sem complicações e os doentes tiveram alta nas 48 horas subsequentes.

Os cardiologistas de intervenção do CHLC – Polo Santa Marta antecipam que existirá um conjunto de doentes distribuídos por todo o território nacional, maioritariamente seguidos em consultas de Cardiologia ou de Medicina Interna, que se mantêm sintomáticos apesar de esgotadas todas as opções terapêuticas (cirurgia, cateterismo com implantação de stents, medicamentos) e que têm agora uma nova arma na melhoria dos seus sintomas e qualidade de vida, podendo a partir de agora ser referenciados para os centros que estejam a implantar este novo dispositivo.

Imagem do dispositivo aplicado no paciente: /userfiles/images/reducer.jpg

Newsletter TecnoHospital

Receba quinzenalmente, de forma gratuita, todas as novidades e eventos sobre Engenharia e Gestão da Saúde.


Ao subscrever a newsletter noticiosa, está também a aceitar receber um máximo de 6 newsletters publicitárias por ano. Esta é a forma de financiarmos este serviço.